【牛皮癣】中西医五维净血祛癣疗法
太原肤康中医皮肤病医院微信公众号 tyfkpfbyy 点击复制
【导读】牛皮癣是一种常见的皮肤病,发病率较高,且损害大,严重影响人们的日常生活和工作;很多牛皮癣患者常常由于自身大意或治疗不当,使得牛皮癣有机可乘,较终导致了重症牛皮癣,以及顽固性牛皮癣。
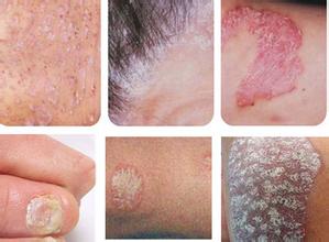
牛皮癣症状图片
顽固型牛皮癣犹如牛皮糖一样难缠
究其牛皮癣不易治疗,反复的原因是很复杂的:精神的焦虑、社会因素导致的不治疗、滥治疗甚至治疗不全面。结果出现没有针对病情正确用药,导致牛皮癣病情加重的现象,患者病情难以控制,皮肤表面皮损严重,给患者本人带来了极大的痛苦。
中西医五维净血祛癣疗法
“中西医五维净血祛癣疗法”通过三个步骤进行平衡阴阳,调整气血,疏通经络,扶正祛邪,重新达到抑制和加强两大系统的动态平衡,维持正常的新陈代谢。通过调节免疫系统的紊乱状态,抑制T细胞的异常活化,稳定细胞膜,消除超抗原对免疫系统的影响,使皮损消退,恢复皮肤正常的光泽和活力。
1、抑制牛皮“癣易感基因”活化。 “中西医五维净血祛癣疗法”由于内外致病因素通过体内体外的表面进入体循环,然后通过细胞外基质直接作用于易感基因,对易感基因进行刺激,激活易感基因,促使其表达,调整气血,疏通经络,扶正祛邪, 重新达到抑制和加强两大系统的动态平衡,维持正常的新陈代谢。
“中西医五维净血祛癣疗法“有效抑制易感基因的表达,稳定易活化的易感基因,能够在病源处起到阻断疾病发生的治疗作用。
2、促使机体免疫系统恢复正常。对于已经被激活的易感基因,活化后会产生T细胞,T细胞活化是牛皮癣发病的关键环节。
“中西医五维净血祛癣疗法“在此阶段主要抑制T细胞的病理性活化,并将已活化的T细胞消灭,稳定细胞膜,减少T细胞再次作用到下一环节,并激活受损细胞,消除超抗原对免疫系统的影响,促使机体免疫系统恢复正常,提高机体免疫力。
3、恢复皮肤正常代谢功能。机体的免疫系统恢复正常之后,T细胞有病理性活化变成保护性活化,从而防止皮肤角质形成细胞的过度增殖,修复受损细胞,消除皮损鳞屑和瘙痒的症状,恢复皮肤正常的代谢功能。
同时在关键节点进行干预,较大限度利用机体自身的调控机制和能力,扶持和加强这种作用,避免长期大量用药和过度治疗对机体的伤害和不良影响。

长按二维码,扫描关注肤康公众号tyfkpfbyy
太原肤康皮肤病医院 您的皮肤健康顾问
